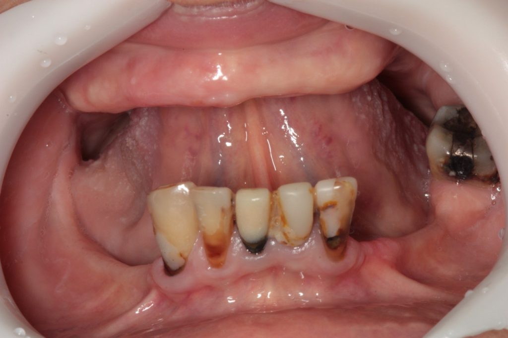
Indicados para casos extremos de reabsorção óssea, onde os implantes tradicionais não têm ancoragem, temos a grata satisfação em oferecer a reabilitação com os implantes zigomáticos. Isto é possível através da nossa equipe especializada de cirurgiões bucomaxilofaciais e médicos, que devolvem o sorriso fixo mesmo nos casos limítrofes.







